Tổng quan hệ thống và phân tích gộp về kháng sinh dự phòng trong viêm tụy cấp nặng.
Systematic review and meta-analysis of antibiotic prophylaxis in severe acute pancreatitis. Wittau M1, Mayer [...]
Chẩn đoán phân biệt viêm cơ tim hoặc nhồi máu cơ tim “thật sự” bằng chụp mri tim trên bn với chẩn đoán lâm sàng nmct không tắc nghẽn mạch vành: một phân tích gộp
Myocarditis or “true” infarction by cardiac magnetic resonance in patients with a clinical diagnosis of myocardial [...]
Sinh hoạt chuyên đề khớp vai và dùng robot hội chẩn từ xa
Ngày 3/8/2017 trong buổi sinh hoạt khoa học thường kỳ thứ Năm hàng tuần. Được [...]
Th8
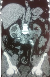
Phẫu thuật lấy sỏi thận trên bệnh nhân bị thận móng ngựa
Ngày 07/8/2017, kíp phẫu thuật khoa Ngoại thận – Tiết niệu, Bệnh viện Đa khoa [...]
Th8
Ịch sinh hoạt chuyên môn thứ năm ngày 10/8/2017
Kính gởi: BCN các Khoa-Phòng Lịch Sinh Hoạt Chuyên Môn Thứ Năm Ngày 10/8/2017 Thời [...]
Rifaximin trong điều trị bệnh não do gan
Rifaximin Treatment in Hepatic Encephalopathy Nathan M. Bass, Kevin D. Mullen,, Arun Sanyal,, Fred Poordad, [...]
Sinh hoạt chuyên môn thứ năm ngày 03/8/2017
Được sự cho phép của Sở y tế An Giang, bệnh viện đa khoa trung [...]
Alendronate trong dự phòng và điều trị loãng xương do glucocorticoide. nhóm nghiên cứu can thiệp gây loãng xương do glucocorticoid.
Alendronate for the prevention and treatment of glucocorticoid-induced osteoporosis. Glucocorticoid-Induced Osteoporosis Intervention Study Group. [...]
Thuốc kháng viêm nonsteroid không phải aspirin và nguy cơ xuất huyết não: một tổng quan hệ thống và phân tích gộp.
Nonaspirin Nonsteroidal Anti-Inflammatory Drugs and Risk of Hemorrhagic Stroke: A Systematic Review and Meta-Analysis of Observational [...]
Oxy hóa lúc ngưng thở trong đặt nội khí quản trong khoa cấp cứu : một tổng quan hệ thống và phân tích gộp
Apneic oxygenation during intubation in the emergency department: A systematic review and meta-analysis Matthew J [...]
