Viêm kết mạc mùa xuân là một bệnh lý dị ứng tại bề mặt nhãn cầu. Bệnh chủ yếu ảnh hưởng đến nam giới trẻ tuổi sống trong khí hậu khô nóng và thường diễn ra theo mùa, mặc dù điều này không phải luôn luôn đúng. Bệnh thường xảy ra vào mùa xuân lúc có nhiều phấn hoa gây kích phát phản ứng tại mắt. Viêm kết mạc mùa xuân liên quan mật thiết đến tiền sử dị ứng của bản thân hoặc gia đình bệnh nhân.
Viêm kết mạc mùa xuân xuất hiện chủ yếu ở các khu vực có khí hậu khô nóng, nơi ô nhiễm bởi phấn hoa và các chất gây dị ứng khác được cho là cao hơn. Viêm kết mạc mùa xuân thường bắt đầu ở độ tuổi 10–12 tuổi và chủ yếu xảy ra trong độ tuổi từ 5–25 tuổi.
Triệu chứng
Triệu chứng chủ quan: Viêm kết mạc mùa xuân thường gây ngứa dữ dội, sợ ánh sáng, cảm giác cộm mắt như có bụi, chảy ghèn nhầy, dính và trong, sưng phù mi mắt.

Nhú khổng lồ ở bệnh nhân Viêm kết mạc mùa xuân nặng
Bệnh nhân thường mô tả rằng: mắt đột ngột ngứa dữ dội, dụi mắt xong thì sưng phù mắt và có cảm giác châm chích hoặc như có “con dòi” bò trong mắt.
Một biểu hiện điển hình khác là tình trạng khó chịu nặng vào buổi sáng, được mô tả là “sự đau khổ mỗi sáng” do bệnh nhân bị viêm kết mạc mùa xuân , gây ngứa khó chịu ở mắt làm bệnh nhân không ngủ được, nên sáng sẽ mệt mỏi, dậy trễ, uể oải.
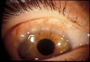
Triệu chứng trên mắt:

Hạt vùng rìa kết mạc (nốt Horner-Trantas)
- Đỏ mắt: mắt đỏ hồng do viêm kết mạc, có các nhú trên bề mặt mi mắt.
- Nổi hạt: ở cạnh tròng đen (rìa giác mạc – kết mạc).
- Tùy mức độ nặng, có thể ảnh hưởng tròng đen (giác mạc) từ xói mòn biểu mô, đến loét dạng mảng, và thậm chí sẹo giác mạc.
Xử trí và điều trị
Xử trí ban đầu: là xử trí quan trọng nhất, thường dùng và sẵn có tại nhà.
- Bước 1: Rửa mắt và mũi bằng nước muối sinh lý (có thể dùng nước muối sinh lý để lạnh) để loại bỏ dị nguyên.
- Bước 2: Chườm lạnh bằng túi đá, chai nước lạnh hoặc cái muống kim loại để tủ lạnh nhằm giảm phản ứng viêm.
Hạn chế dụi mắt để tránh kích thích phản ứng dị ứng.

Bước 2: chườm lạnh khoảng 5-10 phút.

Bước 1: rửa mắt bằng nước muối sinh lý
Điều trị bằng thuốc:
Trường hợp nhẹ: Dùng thuốc nhỏ kháng histamin, ổn định màng tế bào, hoặc các chế phẩm phối hợp.
Trường hợp nặng hơn: Có thể sử dụng thuốc nhỏ corticoid theo chỉ định của bác sĩ. Tuyệt đối không tự ý sử dụng, vì có thể gây nhiễm trùng cơ hội, và các biến chứng có thể dẫn đến mù lòa.
viêm kết mạc mùa xuân kéo dài hoặc không đáp ứng: Có thể dùng thuốc ức chế miễn dịch nhỏ mắt trong thời gian dài.
Phòng ngừa
Do viêm kết mạc mùa xuân liên quan đến cơ địa bệnh nhân nên việc phòng ngừa hoàn toàn là không thể, chúng ta chỉ có thể phòng tránh một số nguyên nhân thường gây khởi phát bệnh và các nguyên nhân mà bản thân bệnh nhân đã biết. Nếu sau khi xử trí ban đầu không giảm ngứa, bệnh nhân nên đến khám bác sĩ mắt, không tự ý mua thuốc nhỏ tại các nhà thuốc.
Dự phòng bao gồm:
- Đeo kính, đeo khẩu trang khi ra ngoài, nhằm hạn chế tiếp xúc với phấn hoa, bụi,…
- Mang theo nước muối sinh lý bên người, khi ngứa mắt thì có thể rửa ngay.
- Tránh các loại thức ăn dị ứng với bệnh nhân.
- Vệ sinh phòng ngủ, hút bụi thường xuyên nhằm tránh các loại bụi, sợi vải,… nhằm tránh nguyên nhân có thể gây kích phát phản ứng dị ứng.
Việc điều trị viêm kết mạc mùa xuân cần sự phối hợp chặt chẽ giữa bệnh nhân và bác sĩ để kiểm soát triệu chứng, ngăn ngừa biến chứng và cải thiện chất lượng cuộc sống.
Khoa Mắt – BVĐKTTAG
